
Chăm sóc da là điều cần thiết, nhưng không phải cứ dùng càng nhiều sản phẩm thì da sẽ càng đẹp. Thực tế, rất nhiều người đang rơi vào tình trạng “over-skincare” – chăm da quá mức, khiến làn da trở nên nhạy cảm, dễ kích ứng và khó phục hồi.
Đặc biệt ở phụ nữ sau 25–30 tuổi, khi bắt đầu sử dụng nhiều hoạt chất như retinol, AHA, vitamin C…, nếu không kiểm soát tốt, da rất dễ rơi vào trạng thái quá tải.
Vậy làm sao để nhận biết làn da đang “kêu cứu”? Dưới đây là 5 dấu hiệu cảnh báo da đang quá tải skincare, bạn nên chú ý để điều chỉnh kịp thời.
1. Da đỏ và châm chích kéo dài
Một trong những dấu hiệu rõ ràng nhất khi da bị quá tải là cảm giác:
– Châm chích khi thoa sản phẩm
– Đỏ nhẹ hoặc đỏ kéo dài
– Nóng rát, khó chịu
Ban đầu, nhiều người nghĩ đây là phản ứng bình thường khi dùng treatment. Tuy nhiên, nếu tình trạng này kéo dài nhiều ngày, đó là dấu hiệu da đang bị kích ứng.
Nguyên nhân thường gặp là:
– Dùng quá nhiều hoạt chất mạnh cùng lúc
– Tăng nồng độ quá nhanh
– Không có thời gian phục hồi
Khi da bị viêm kéo dài, hàng rào bảo vệ sẽ suy yếu và khiến da ngày càng nhạy cảm hơn.

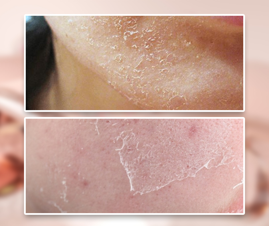
2. Da bong tróc liên tục nhưng không cải thiện
Bong tróc là hiện tượng có thể xảy ra khi dùng retinol hoặc acid. Tuy nhiên, nếu da bong tróc:
– Kéo dài nhiều ngày
– Kèm theo khô căng
– Không cải thiện sau khi dưỡng
→ Đây có thể là dấu hiệu da đang bị “bào mòn”.
Nhiều người nhầm lẫn giữa “đẩy da” và “tổn thương da”, dẫn đến việc tiếp tục dùng sản phẩm mạnh hơn. Thực tế, bong tróc kéo dài thường cho thấy da không đủ khả năng phục hồi. Chị em nên giảm tần suất treatment, tăng cường dưỡng ẩm và tạm ngưng hoạt chất mạnh nếu cần.

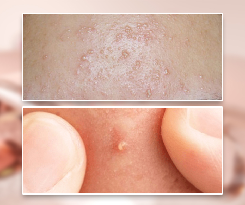
3. Da dễ nổi mụn hơn dù chăm da kỹ
Một dấu hiệu “âm thầm” nhưng rất phổ biến là mụn nhỏ li ti, mụn ẩn xuất hiện nhiều hơn, da dễ bí tắc. Nguyên nhân có thể đến từ:
– Layer quá nhiều sản phẩm
– Kết hợp hoạt chất không phù hợp
– Hàng rào da suy yếu
Khi da yếu, khả năng tự bảo vệ và kiểm soát dầu sẽ giảm, từ đó dễ dẫn đến mụn. Không phải cứ dùng nhiều sản phẩm là tốt. Đôi khi, tối giản lại routine mới là giải pháp.

4. Da trở nên nhạy cảm hơn bình thường
Nếu trước đây da bạn “khỏe”, nhưng gần đây:
– Dễ kích ứng với sản phẩm mới
– Dễ đỏ khi thay đổi thời tiết
– Cảm giác rát khi dùng sản phẩm quen thuộc
→ Đây là dấu hiệu hàng rào bảo vệ da đã bị suy yếu.
Nguyên nhân thường là do lạm dụng acid hoặc retinol, không dưỡng ẩm đầy đủ, làm sạch quá mức. Khi hàng rào da bị tổn thương, da sẽ mất khả năng chống lại các tác nhân bên ngoài.
5. Da xỉn màu, kém sức sống dù dùng nhiều sản phẩm
Nghe có vẻ nghịch lý, nhưng khi da bị quá tải:
– Da có thể trở nên xỉn màu
– Không còn độ căng bóng tự nhiên
– Nhìn mệt mỏi, thiếu sức sống
Điều này xảy ra vì da bị viêm nhẹ kéo dài, quá trình tái tạo bị rối loạn, mất cân bằng độ ẩm. Một làn da khỏe sẽ phản chiếu ánh sáng tốt hơn. Khi da yếu, bề mặt da trở nên kém mịn và thiếu độ sáng tự nhiên.
Làm gì khi da bị “quá tải” skincare?
Nếu nhận thấy những dấu hiệu trên, bạn nên “reset” lại routine chăm sóc da:
- Tối giản routine: Chỉ giữ lại: sữa rửa mặt – kem dưỡng – kem chống nắng và tạm ngưng các hoạt chất mạnh.
- Tập trung phục hồi: Ưu tiên sản phẩm chứa ceramide, panthenol. Bên cạnh đó đừng quên dưỡng ẩm đầy đủ sáng và tối.
- Quay lại treatment từ từ: Bắt đầu với tần suất thấp và theo dõi phản ứng của da.
Chăm sóc da là một hành trình dài, không phải cuộc đua dùng nhiều sản phẩm. Nếu bạn thấy da xuất hiện các dấu hiệu như trên thì rất có thể làn da đang bị quá tải. Việc điều chỉnh routine kịp thời sẽ giúp da phục hồi nhanh hơn và tránh những tổn thương lâu dài.
Chị em có thể tham khảo thêm Bật mí 7 lí do thường gặp khiến da của chị em nhanh bị lão hoá để chăm da hiệu quả hơn. Để cập nhật thêm kiến thức chăm sóc da U30+, hãy theo dõi Fanpage Bác sĩ Hiếu tại: Bác sĩ Hiếu | Hanoi để được tư vấn trực tiếp.
Mọi chi tiết, xin liên hệ:
Fanpage: Bác sĩ Hiếu
Inbox: m.me/drhieu.aesthetic
Youtube: bacsihieu.vn/youtube
